РАБОТАЕМ ДО 21:00 ЕЖЕДНЕВНО
КТ зубов
Компьютерная томография (КТ) - революционный метод исследования зубов и челюсти.
Золотым стандартом диагностики в хирургии, имплантологии, ортопедии в настоящий момент является компьютерная томография. Компьютерная томография зубов и челюсти помогает доктору ответить на многие вопросы и составить индивидуальный план лечения пациента.
Показания к КТ
- травмы и повреждения зубов или челюстей различного рода;
- аномальное развитие и неправильное расположение зубов;
- заболевания пазух верхней челюсти;
- подготовка к хирургическому вмешательству, например, к имплантации;
- новообразования мягких тканей и костей челюстно-лицевой области;
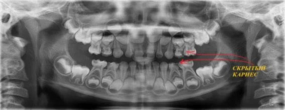
- вероятное наличие невидимых при обычном осмотре кариозных полостей;
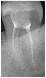
- осложнения, вызванные проведением лечения внутри канала;
- подготовка к ортодонтическому лечению;
- подготовка к терапевтическому лечению;
- контроль качества произведенного лечения.
Преимущества КТ
Современные компьютерные томографы позволяют проводить исследования с высоким разрешением, высокой скоростью обработки полученных данных, при этом изображение всегда получается высокого качества и без искажения;
- Результаты исследования врач может просматривать на мониторе компьютера;
- Удобная программа обработки и просмотра изображения дает четкое понимание о состоянии проблемных зон, качестве и количестве кости, изогнутости корней зубов, анатомических особенностях расположения сосудов и нервов;
- Минимальная доза облучения на современном конусно-лучевом дентальном томографе;
- Качественные трёхмерные снимки зубов дают возможность планировать весь процесс стоматологической реабилитации с высокой точностью и минимизировать процент возможных осложнений.
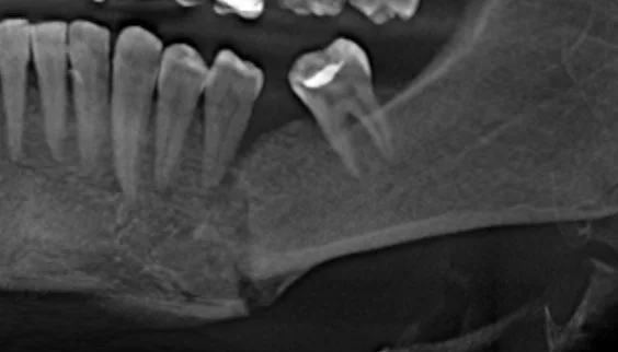
Ортопантомограмма в детской стоматологии
Ортопантомограмма - это один большой снимок на котором видны обе челюсти и, естественно, все зубы.
Помимо этого, на таком снимке можно увидеть:
- височно-нижнечелюстной сустав,
- гайморовы пазухи
- проекцию нижнечелюстного нерва.

В детской стоматологии обойтись без рентгена невозможно. Под корнями молочных зубов располагаются зачатки постоянных зубов, и прежде чем начинать их лечение, необходимо убедиться, что корни молочных зубов не начали рассасываться, и что проводимое лечение не повредит зачаткам постоянных зубов.

Панорамный снимок - это не то, на чем можно сэкономить. Малейшая ошибка в диагностике при отсутствии снимка - это риск серьезных упущений в лечении и дополнительных затрат.

Терапевтическая стоматология
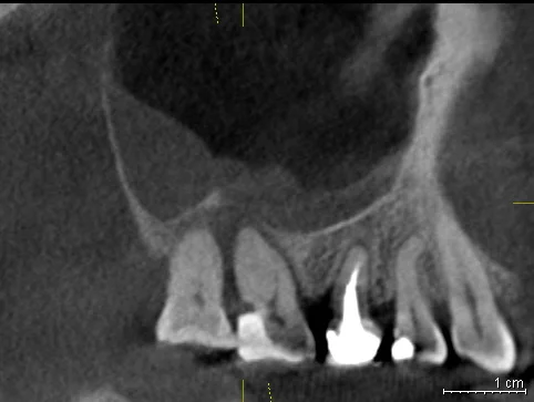
3D компьютерная томография челюстей и зубов.
Давайте сравним снимки зубов, сделанные при помощи визиографа (слева), и при помощи компьютерной томографии (справа).


Как говорится, ощутите разницу. КТ - гораздо более точная и своевременная диагностика.
Компьютерная томография - это ключевой метод обследования в имплантологии
Воссоздавая орган (зуб) или даже совокупность органов, необходимо предельно точно знать исходную ситуацию. Корни зубов, каналы зубов, крупные сосудисто-нервные пучки, идущие внутри костной ткани, верхнечелюстная пазуха во всех подробностях и т.д. - в неискаженном виде все это можно увидеть только на компьютерной томограмме. Стоит ли говорить, что все эти структуры важны для имплантации, так как могут быть легко поврежденфы в ходе операции.


Как получить гарантированный результат имплантации? При помощи компьютерной томографии!
Применение КТ в различных областях стоматологии
| Пародонтология: | Ортодонтия, стом. хирургия: | Гнатология: | Стом. хирургия: |
| Оценка степени тяжести при заболеваниях десен (пародонтита). | Определение положения ретинированных и дистопированных зубов | Диагностика различных заболеваний височно-нижнечелюстных суставов. | Диагностика и оценка переломов корней зубов |
|
|
|
|
![]() |
| Челюстно-лицевая хирургия: | ЛОР-диагностика : | ||
| Диагностика и оценка переломов челюстно-лицевой области (средней и нижней зон лица). | Диагностика воспалительных заболеваний и новообразований всех придаточных пазух носа (в т.ч. верхнечелюстные синусы). | ||
|
|
|
||

Как происходит компьютерное обследование:
- Пациент приглашается в специально оборудованный кабинет, в котором расположен томограф.
- Пациенту предлагается надеть специальный жилет, оберегающий от излучения.
- Врач фиксирует пациента в положении, требуемом для максимально эффективной съемки
- Подвижная часть томографа оборачивается вокруг головы пациента.
- Томограф выключается, пациент снимает жилет и выходит из кабинета
- Пациент получает обработанную томограмму, записанный на компакт-диск.


3D технологии помогают докторам сделать вашу улыбку ослепительно красивой, здоровой и долговечной!














